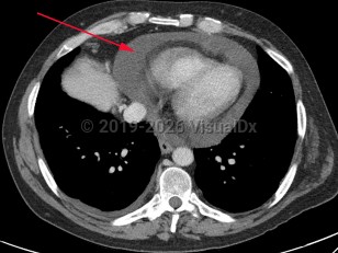
Pericardial effusion
Alerts and Notices
Important News & Links
Synopsis
A pericardial effusion (PE) is an accumulation of an abnormal amount of fluid within the pericardial cavity, usually from inflammation. It may be caused by local or systemic disorders or may be idiopathic. It is typically secondary to injury to the pericardium, such as pericarditis. In more than half of cases, PE is associated with a known or suspected underlying process.
PE may be asymptomatic unless there is an association with inflammation or tamponade. Symptoms typically arise due to compression of neighboring organ structures or diastolic heart failure. Common symptoms include chest pain or discomfort, light-headedness or syncope, palpitations, cough, shortness of breath, nausea, abdominal fullness, dysphagia, hoarseness, anxiety, confusion, and hiccups.
Viral etiologies are the most common causes of infectious pericarditis. Human immunodeficiency virus (HIV) infection can result in PE through secondary bacterial infection, opportunistic infection, malignancies such as Kaposi sarcoma or lymphoma, or capillary leak syndrome. Typical viral causes include hepatitis viruses and coxsackievirus A and B. Pyogenic, tuberculous, fungal, syphilitic, protozoal, and parasitic organisms may also cause pericarditis.
Neoplastic diseases with a higher occurrence of PE include lung cancer, breast cancer, leukemia / lymphoma, malignant melanoma, and mesothelioma.
May also occur following an operation or procedure, most commonly as a complication after cardiac surgery.
Less common causes of PE include uremia, myxedema, severe pulmonary hypertension, radiation therapy, acute myocardial infarction, aortic dissection, trauma, hyperlipidemia, chylopericardium, familial Mediterranean fever, Whipple disease, hypersensitivity or autoimmune-related diseases (eg, systemic lupus erythematosus, scleroderma, rheumatoid arthritis), and medications.
A potentially life-threatening complication of pericardial effusion is cardiac tamponade, a condition where there is poor blood circulation and an insufficient amount of oxygen to the body.
Treatment is dependent on the severity of the disease, the underlying cause, and whether there is or may be a decrease in heart function.
PE may be asymptomatic unless there is an association with inflammation or tamponade. Symptoms typically arise due to compression of neighboring organ structures or diastolic heart failure. Common symptoms include chest pain or discomfort, light-headedness or syncope, palpitations, cough, shortness of breath, nausea, abdominal fullness, dysphagia, hoarseness, anxiety, confusion, and hiccups.
Viral etiologies are the most common causes of infectious pericarditis. Human immunodeficiency virus (HIV) infection can result in PE through secondary bacterial infection, opportunistic infection, malignancies such as Kaposi sarcoma or lymphoma, or capillary leak syndrome. Typical viral causes include hepatitis viruses and coxsackievirus A and B. Pyogenic, tuberculous, fungal, syphilitic, protozoal, and parasitic organisms may also cause pericarditis.
Neoplastic diseases with a higher occurrence of PE include lung cancer, breast cancer, leukemia / lymphoma, malignant melanoma, and mesothelioma.
May also occur following an operation or procedure, most commonly as a complication after cardiac surgery.
Less common causes of PE include uremia, myxedema, severe pulmonary hypertension, radiation therapy, acute myocardial infarction, aortic dissection, trauma, hyperlipidemia, chylopericardium, familial Mediterranean fever, Whipple disease, hypersensitivity or autoimmune-related diseases (eg, systemic lupus erythematosus, scleroderma, rheumatoid arthritis), and medications.
A potentially life-threatening complication of pericardial effusion is cardiac tamponade, a condition where there is poor blood circulation and an insufficient amount of oxygen to the body.
Treatment is dependent on the severity of the disease, the underlying cause, and whether there is or may be a decrease in heart function.
Codes
ICD10CM:
I31.39 – Other pericardial effusion (noninflammatory)
SNOMEDCT:
373945007 – Pericardial effusion
I31.39 – Other pericardial effusion (noninflammatory)
SNOMEDCT:
373945007 – Pericardial effusion
Differential Diagnosis & Pitfalls
To perform a comparison, select diagnoses from the classic differential
Subscription Required
Best Tests
Subscription Required
Drug Reaction Data
Subscription Required
References
Subscription Required
Last Updated:04/22/2019
Pericardial effusion
