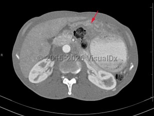
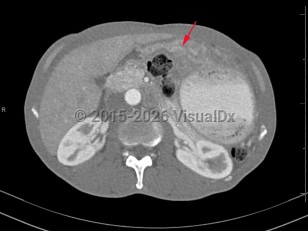
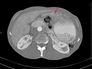
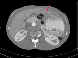
Gastric cancer arises from malignant transformation of gastric cells. Eighty-five percent of gastric cancers are gastric adenocarcinomas; there are other subtypes of gastric cancer that more rarely occur (eg, mucosa-associated lymphoid tissue lymphoma, leiomyosarcoma, gastrointestinal stromal tumors, linitis plastica, gastric adenocarcinoma and proximal polyposis of the stomach [GAPPS]). Histologically, gastric cancers are defined as either intestinal or diffuse. Although gastric cancers can occur anywhere in the stomach, there are epidemiologic differences between tumors that originated in the cardia and tumors with noncardia origins. The rates of gastric cancer have been declining since the identification and treatment of Helicobacter pylori.
Risk factors for development of noncardia gastric cancers include long-term ingestion of foods with high concentration of nitrites, such as dried, smoked, and salted foods, infection with H pylori, lower socioeconomic status, and migration from nations with high incidence of gastric cancer including nations in East Asia, Eastern Europe, and South America. The risk of cardia gastric cancer is increased in patients with gastroesophageal reflux disease (GERD) and those who are obese. Age, male sex, tobacco use, family history, sedentary lifestyle, and radiation are risk factors for all types of gastric cancer. Approximately 15%-20% of patients with advanced disease have overexpression of human epidermal growth factor receptor 2 (HER2). Germline pathogenic variants in several homologous-recombination genes have also been associated with increased risk of gastric cancer.
Many patients with early, superficial disease are asymptomatic. As the disease progresses, patients may present with vague upper abdominal discomfort, postprandial fullness, severe pain, anorexia, nausea, weight loss, early satiety, progressive food intolerance, heartburn, melena, or symptomatic anemia. There may be delayed gastric emptying (gastroparesis), which can progress to gastric outlet obstruction. Other unusual clinical features associated with gastric cancer include migratory thrombophlebitis, microangiopathic hemolytic anemia, diffuse seborrheic keratoses, and acanthosis nigricans. Patients with linitis plastica often present with advanced disease. The liver is the most common site of metastases, and malignant ascites may occur.
Gastric cancer
Alerts and Notices
Important News & Links
Synopsis
Codes
ICD10CM:
C16.9 – Malignant neoplasm of stomach, unspecified
SNOMEDCT:
363349007 – Malignant tumor of stomach
C16.9 – Malignant neoplasm of stomach, unspecified
SNOMEDCT:
363349007 – Malignant tumor of stomach
Look For
Subscription Required
Diagnostic Pearls
Subscription Required
Differential Diagnosis & Pitfalls
To perform a comparison, select diagnoses from the classic differential
Subscription Required
Best Tests
Subscription Required
Management Pearls
Subscription Required
Therapy
Subscription Required
References
Subscription Required
Last Reviewed:11/01/2017
Last Updated:03/27/2025
Last Updated:03/27/2025
Gastric cancer
