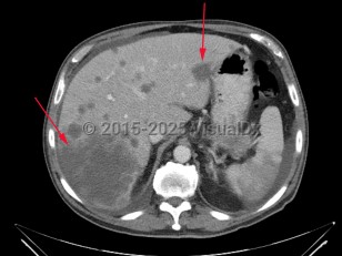
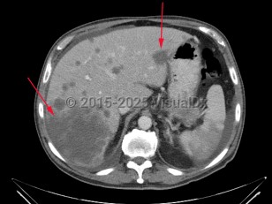
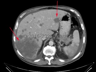
Liver cancer
Alerts and Notices
Important News & Links
Synopsis
There are several rare types of liver cancer. Angiosarcoma and epithelioid hemangioendothelioma arise from mesenchymal cells. Intraductal papillary neoplasm and mucinous cystic neoplasm with invasive carcinoma arise from the bile ducts.
Hepatoblastoma is another primary liver malignancy arising from hepatocytes. This cancer is more common in children younger than 3 years old. It is associated with some genetic conditions, such as Beckwith-Wiedemann syndrome, Wilson disease, and familial adenomatous polyposis.
Many malignancies can metastasize to the liver. Frequently, patients with uveal melanoma may have liver metastases. In rare circumstances, lymphomas can present with primary manifestation in the liver.
Codes
C22.9 – Malignant neoplasm of liver, not specified as primary or secondary
SNOMEDCT:
93870000 – Malignant neoplasm of liver
Look For
Subscription Required
Diagnostic Pearls
Subscription Required
Differential Diagnosis & Pitfalls
Subscription Required
Best Tests
Subscription Required
Management Pearls
Subscription Required
Therapy
Subscription Required
Drug Reaction Data
Subscription Required
References
Subscription Required
Last Updated:11/17/2021
